Skip To Content
Diamond Invisalign Provider NYC
212-355-2290 Book Online Pay Online
Diamond Invisalign Provider NYC

Invisalign for Gaps

Dr. Sang (Ben) Ahn holding false teeth
Invisalign for Gaps - Is it Right for You?

Gapped teeth are a dental issue in which there is extra space between two or more teeth. This condition is also known as a diastema. If not treated promptly, gapped teeth can cause spacing issues between teeth, where food may get stuck. They can also make the gums sore and tender or cause gum disease.

Fortunately, Invisalign can fix gaps between the teeth. These solutions are more effective than metal braces, and you will enjoy comfortable and convenient Invisalign gap teeth treatment at 209 NYC Dental. Many patients choose Invisalign because it lets them maintain their routine without the discomfort and visibility of metal braces.

 

Call 212-355-2290 for information about Invisalign for gaps and spaces.

 

 

Can Invisalign Fix Gaps?

Yes, Invisalign can fix spaces between teeth. We can offer a consultation to examine your teeth and determine the most suitable Invisalign treatment. The benefits of using Invisalign for gaps include:

  1. Enhanced self-esteem: Closing gaps in your teeth will improve your smile. This change will improve your confidence and make you feel more relaxed, enabling you to smile while taking pictures and meeting people.
  2. Better oral hygiene: You can remove the clear aligners whenever you want to eat or clean your teeth. This will keep your teeth free of plaque and prevent food particles from getting trapped between them.
  3. Personalized treatment: Invisalign clear aligners can be designed to fit your teeth. The aligners are created after making a 3D impression of each tooth, which is why they will fit your teeth perfectly.
  4. Comfortable, clear aligners: Invisalign clear braces make eating comfortable. When you choose Invisalign for gaps, no metal wires, elastics, or plates will be attached to your teeth. Food won’t get stuck in your aligners; you can easily remove and replace them. Unlike metal braces, Invisalign aligners let you enjoy your favorite foods without hesitation.
  5. Discreet treatment: As you use Invisalign as a treatment for gap teeth, your clear aligners will be virtually invisible. Unlike someone wearing traditional braces, you will not have to be embarrassed each time you open your mouth.

What Causes Gaps in Teeth?

A variety of factors can contribute to the occurrence of gaps between teeth. In some people, gaps are related to the size of their jawbone and the relative size of their teeth. Spaces may be formed between teeth when a person’s teeth are too small for their jawbone. Consequently, the teeth appear too far from each other. The size of the jawbone and teeth is determined by inheritance, so that you may notice gaps in the teeth of your parents and other family members, too.

 

You could also have spaces between teeth because of an overgrowth of tissue at the border between your upper front teeth and your gum line. This overgrowth creates space between teeth, which is treatable with Invisalign for gaps.

In addition, some bad habits can trigger the formation of a gap between teeth. For example, children who indulge in thumb-sucking can put excessive pressure on the front teeth, which may pull them forward. In older children, gaps can develop due to improper swallowing reflexes.

Instead of staying at the mouth roof as food is swallowed, the tongue can push the front teeth forward, a condition known as tongue thrust. While it may look harmless, separation can occur, requiring teeth gap treatment.

Gaps can also become a cause for gum disease. When the gums become swollen, this can damage the supporting tissues around the teeth, causing gaps and tooth loss.

Why Should You Fix Spaced Teeth?

Choosing Invisalign for gaps that are prominent, embarrassing, or caused by gum disease is essential. While there are various options for teeth gap treatment, Invisalign, the comfortable, replaceable, clear aligner, is one of the best choices.

How to Fix Gaps in Teeth

The type of treatment you receive from your dentist depends on the cause and size of the gaps in your teeth. Some of the most effective treatment options include the following:

  • Invisalign treatment: Yes, Invisalign can fix gaps between teeth.
  • Porcelain veneers or bonding: Porcelain veneers may be necessary when teeth are broken, cracked, or have old fillings. Bondings are a temporary type of tooth gap treatment for gaps caused by traumatic injuries.
  • Dental bridge: If gaps in the teeth result from missing teeth, an implant bridge or crown can replace a missing tooth.

If your dentist diagnoses a gum infection, you must be treated for the infection first before braces are used to close the gap.

Book an Appointment

Invisalign Cost for Gap Teeth?

The cost of your Invisalign treatment in NYC will be determined by the severity of your dental problem and how long it will take to complete treatment. You may only need to wear aligners for about 10 weeks for minor gaps. Mild gaps usually take about 20 weeks, while moderately severe cases take about 12 to 18 months.

Prices for minor cases could begin at $2,000. However, you need to undergo an imaging scan and dental examination to obtain an accurate estimate of the cost of Invisalign for gaps.

Foreground text: Learn about Our Exclusive Invisalign Discounts in NYC Background: young woman is inserting a clear aligner tray

Meet Dr. Ahn, the VIP Diamond Invisalign Provider

Dr. Ben Ahn is one of the best Invisalign dentists in the United States . He holds the prestigious VIP Diamond Plus Invisalign award. As head of the team of Invisalign dentists at 209 NYC Dental, he offers the highest level of expertise available for treating malocclusion patients. As a committed member of the American Dental Association and many other dental associations, Dr. Ahn is dedicated to exploring different approaches to treating dental issues, including gaps, open bite, underbite, crossbite, overbite, and crowded teeth.

Within the last 20 years, Dr. Ahn has used Invisalign to treat thousands of dental patients with this effective dental technology. In addition to his expertise with Invisalign for gaps, he offers Teen and Express treatment plans.

Book an Appointment

 

Frequently Asked Questions About Invisalign for Gaps

1. How Long Does Invisalign Take to Close a Gap?

It depends on the size of your gap or gaps. For instance, small gaps may take three to six months to close fully. However, more significant gaps may take about nine months to a year until fully closed. Additionally, some teeth move faster than others. That can also affect the duration of your treatment.

2. Does Insurance Cover Invisalign for Gaps?

Understandably, many people wonder how much Invisalign will cost. Fortunately, many dental insurance providers cover the treatment of gap teeth. We recommend reviewing your policy or contacting your provider about coverage. Visit our patient information page to determine which major dental providers we accept.

3. Can Invisalign Fix Wide Gaps?

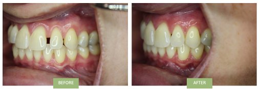
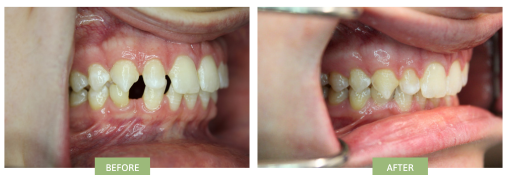
Typically, Invisalign can close wide gaps if given enough time and patient compliance. This may include wearing aligners for up to two years or more. You can see how this fantastic transformation happens by viewing our gallery, which provides before-and-after photos of Invisalign for gaps.

 

Call for Your Invisalign For Gaps Consultation

Give us a call at 209 NYC Dental to book your consultation or schedule online. During this consultation, you will learn all you need to know about how Invisalign can correct gaps in your teeth. You can also get an Invisalign consultation to determine the treatment plan that will be best for your condition. Consultations are $50; if you proceed with treatment, we will apply $50 to your gap teeth treatment.

When you come to our ultra-modern dental office, we will use our 3D digital scanner to create 3D impressions of your teeth. Then, we will use the impressions to recommend a treatment plan. Invisalign for gaps is a highly effective treatment system. Call us today and take the first step to a beautiful smile.

Dr. Sang (Ben) Ahn holding false teeth

About the author:

Dr. Sang (Ben) Ahn

DDS - Diamond Invisalign Provider

Dr. Ahn, a leading Invisalign specialist, has been certified in Invisalign since 2003. With over two decades of experience, he has successfully treated more than 2,500 patients with various bite issues using Invisalign. His exceptional expertise is reflected in maintaining Diamond status for over a decade—a distinction shared by only one other doctor in NYC. He earned his Bachelor of Science from the University of Toronto and his Doctor of Dental Surgery from New York University, followed by a general practice residency at Lutheran Medical Center.

Testimonials

I was very lucky to have had a referral for this Dental Practice. From the wonderful staff at the front desk, who were very helpful and those who checked on my insurance to see if I was covered and this was all before I even had the actual appointment. This was my first time for a visit and I was greeted as if I had been going there forever. I was informed of what to expect and after I filled out my paperwork a lovely young lady came so I could have my x-rays which went well; then the hygienist came and got me - she looked over my x-rays and asked me some questions and then proceeded to clean my teeth. She did a wonderful job. Then the dentist came in for further examination and discussion of what my next steps should be. He was a wonderful doctor. This was a wonderful experience. Before today I was with the same dentist office for approximately 40 years and always adored them unfortunately, they retired. So, I am extremely thrilled to have found such a wonderful dental office and staff at 209 NYC Dental. I look forward to building a lasting relationship.
View More Testimonials


What Our Patients Are Saying

With over 1000 reviews from all over the web with an average rating of 4.9 we are proud to be in the Manhattan Dental Elite.

I was very lucky to have had a referral for this Dental Practice. From the wonderful staff at the front desk, who were very helpful and those who checked on my insurance to see if I was covered and this was all before I even had the actual appointment. This was my first time for a visit and I was greeted as if I had been going there forever. I was informed of what to expect and after I filled out my paperwork a lovely young lady came so I could have my x-rays which went well; then the hygienist came and got me - she looked over my x-rays and asked me some questions and then proceeded to clean my teeth. She did a wonderful job. Then the dentist came in for further examination and discussion of what my next steps should be. He was a wonderful doctor. This was a wonderful experience. Before today I was with the same dentist office for approximately 40 years and always adored them unfortunately, they retired. So, I am extremely thrilled to have found such a wonderful dental office and staff at 209 NYC Dental. I look forward to building a lasting relationship.
S.D.

Google

Dr Wang is the best periodontist I’ve seen in nyc! He went above and beyond to fully explain all my options for my wisdom tooth and even when I had follow up questions after the visit, was available to discuss over the phone. Will definitely recommend to my friends and come back! Thanks Dr.Wang! 🙏
Ben

Google

All staff is very polite! From front desk to dental assistants. Dr. Reddy is one of the best dentists out there! Truly understanding of situations and is great at explaining different treatments and results. If you’re on time, you’ll be seen right away. I can wholeheartedly recommend this place if you’re unsure of where to go.
Donika

Google

Literally the best experience I’ve had at a dentist office. All the staff was so kind and welcoming, they explained every part of the process, and were very gentle and thorough. Excited to keep coming back every 6 months!
Rossy

Google

I had a great experience with this dental group. I came in for an emergency, and the staff and doctors made me feel completely at ease. They were incredibly caring, professional, and attentive, and they resolved everything quickly. The environment is warm and welcoming, and I truly felt comfortable throughout my visit. I’ll definitely be coming back in the future!
Angela C

Google

Top
209 NYC Dental