Invisalign for Open Bite in NYC
Invisalign for Open Bite in NYC - Is it Right for You?
- What Is An Open Bite?
- What Causes An Open Bite?
- Does Invisalign Fix Open Bites?
- The Benefits Of Using Invisalign For Open Bites
- Open Bite Invisalign Consultation At 209 NYC Dental
An open bite is a misalignment of the front upper and lower teeth, leaving space between them. Traditionally, dentists treated this condition with metal braces. However, Invisalign offers a comfortable and less invasive treatment option. Here is some background information on this dental issue and how Invisalign can fix your open bite without using braces or putting you through dental surgery.
Call 212-355-2290 for information about Invisalign for open bite in NYC.
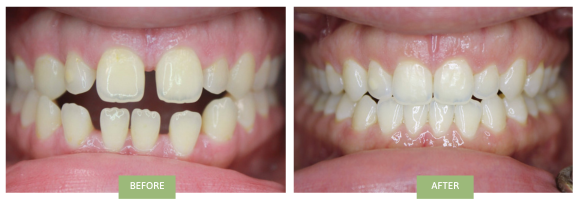
Invisalign for Open Bite Before and After of our Real Results
What Is Open Bite?
An anterior open bite is a form of malocclusion. Malocclusion is a dental term for teeth that are not well-aligned. You have an open bite if your lower and upper front teeth do not touch each other when you close your mouth. This gap between your teeth can make you self-conscious any time you smile.
What Causes an Open Bite?
An open bite may be caused by inherited skeletal or dental problems, which means you may have gotten yours from your parents. You may also notice the same issue among your siblings. In addition, you could have developed an open bite during your childhood or in your adult years because of poor oral habits.
Some of the most common habits that can cause an open bite include the following:
Tongue Thrust
A poor swallowing pattern in childhood can lead to tongue thrusting.
Thumb Sucking
Sucking the thumb and other fingers or the lower lip.
Poor Tongue Posture
Pushing the tongue against the front teeth.
What Are the Signs and Symptoms of an Open Bite?
If you have an open bite, the most obvious sign will be that your upper teeth do not have contact with your lower teeth when you close your mouth. Apart from this problem, other issues may come up because of an open bite, including:
- Difficulty closing your mouth
- Improper alignment of other teeth
- Distortion of the jawline and chin
- Difficulty chewing and swallowing
- Speech issues, including a lisp
Should You Fix an Open Bite With Invisalign in NYC?
While an open bite may not cause immediate discomfort, it should be fixed promptly, as it can contribute to emotional and physical issues.
You should call 209 NYC Dental to see our experienced orthodontist when you notice an open bite. Doing so will help you avoid other possible complications, such as:
- Low sleep quality
- Inability to bite or chew food properly
- Low self-esteem
- Speech impediments
Can Invisalign Fix Open Bite?
Yes, you can correct an open bite with Invisalign in NYC. While open bites are not always easy to fix, your teeth will be carefully examined when you come in to see our Invisalign expert. Then, you will know how we can use Invisalign to close your open bite. We will take a 3D impression of your teeth and show you pictures before and after Invisalign open bite. These images are of other patients who have used Invisalign for open bites in NYC.
To understand how Invisalign can fix your open bite, you must know how clear aligners can straighten your teeth. Unlike traditional metal braces, Invisalign clear aligners do not use wires linked to metal brackets. Instead, each clear aligner is made of a specially crafted plastic material that will gradually move your teeth and jaw into their correct position.
After the 3D scan, the clear aligners will be custom-made to fit your teeth perfectly. You will wear them for just two weeks.
Then, you will switch to a new set of aligners that have a slightly different shape from the previous set. The sets will move your teeth to their correct position over time.
How Long Does Invisalign Take for Open Bites?
The total treatment time of Invisalign for an open bite in NYC depends on the severity of the anterior bite or malocclusion you need to treat. Minor open bites could take about three months, but moderate open bites could require up to 18 months.
Benefits of Getting Invisalign for Open Bite in NYC
Discreet Treatment
Invisalign allows you to correct your malocclusion without others noticing. Unlike metal braces, it can fix an open bite and keep the treatment private.
A Design That Is Removable and Easy to Clean
The aligners are removable. You can take them off when you want to eat, drink, or brush your teeth. Food will not get stuck in them as it does in metal braces.
Personalized Treatment
Choosing Invisalign for an open bite in NYC means receiving aligners made to fit your teeth perfectly. Each set of aligners will gradually pull the teeth into position.
Improved Self-esteem
Correcting your open bite will improve your smile, making you feel more confident when you meet people or take pictures.
Comfort and Convenience
Invisalign clear aligners exert very little pressure on the teeth and jaw. They are virtually painless compared to metal braces.
Meet Dr. Ahn, VIP Invisalign Provider
Dr. Ben Ahn is a Diamond Invisalign Provider. He is one of the few dentists in the U.S. who holds the prestigious VIP Diamond recognition.
Dr. Ahn is rated among the best Invisalign experts in the country. He practices at 209 NYC Dental and offers treatment plans that allow goals to be attained within an efficient time frame, including those based on open-bite Invisalign in NYC.
Dr. Ahn is a committed American Dental Association (ADA) member and other international professional medical and dental associations. He is passionate about discovering how to improve the outcome of Invisalign treatment and the quality of care.
Dr. Ahn has expertise working with patients with various malocclusion cases. He has used Invisalign to treat crowded teeth, crossbite, open bite, and overbite for more than 15 years. In addition to treating adults, he also offers all treatment options, including Invisalign Teen and Invisalign Express.
Frequently Asked Questions
1. Can Invisalign Fix an Open Bite Without Surgery?
In most cases, yes. Open bites can be fixed with braces. Your options typically include traditional metal braces or clear aligners like Invisalign. However, patients with severe open bites may need oral surgery before braces become an option.
2. How Many Years Does It Take to Fix an Open Bite?
An open bite is often correctable in one to two years for most patients. Patients with mild cases of open bites can complete treatment in about one year. Those with severe open bites can take around two years until treatment concludes.
3. How Much Does Fix an Open Bite With Invisalign Cost?
Invisalign overbite correction costs vary based on the severity of your open bite. Patients with mild open bites may only need to wear Invisalign aligners for 12 months. Someone with a severe open bite could need to use their aligners for closer to 18 months.
Call Today to Begin Invisalign for Open Bite in NYC
Call 209 NYC Dental now to schedule a consultation, or book your consultation online. Consultations are $50; if you proceed with treatment, we will apply $50 toward your Invisalign treatment. During this consultation, we can discuss Invisalign costs. We will provide all the information you need to discover how to fix an open bite with Invisalign in NYC. We will scrutinize your smile, give you a 3D imaging scan, and allow you to see before-and-after Invisalign open bite images for our suggested treatment plan.
You will receive compassionate and exceptional dental care when you visit our ultramodern dental facility. We will also provide details about the time it will take for your specific plan and the total cost of Invisalign treatment. Take time to read through all the reviews our patients have provided, then call us today.

Couple time a year we offer patients in NYC EXTRA discounts on Invisalign treatment in addition to our Exclusive Invisalign Offer. Stay tuned.
What Our Patients Are Saying
With over 1000 reviews from all over the web with an average rating of 4.9 we are proud to be in the Manhattan Dental Elite.
Our History
Our Providers
About Us
Blog
Contact us
Diagnostic & Preventive
Dental Implants
Clear Braces - Invisalign
Cosmetic Dentistry
Periodontics
Patient Forms
Payment Information
Insurance Options
CareCredit Dental
Appointment Policy
Free Consultation
Complimentary Teeth Whitening
Teeth Whitening


