Porcelain and Composite Fillings in Manhattan
Composite and Porcelain Tooth Fillings in NYC
- NYC Porcelain Fillings
- How to Minimize Tooth Decay
- Treating Cavities With Porcelain Tooth Fillings
- Advantages of Porcelain Fillings
- Which Procedure Is Right for You?
- What Is the Difference Between Composite Bonding and Porcelain Onlay or Inlay?
- What Occurs During a Dental Bonding Procedure?
- What Happens During Dental Onlay Preparation?
Dental bondings and onlays can be excellent solutions for treating and “hiding” small to large areas of decay. The dentists at 209 NYC Dental in Midtown East rely on high-quality materials, advanced technology, and techniques to create long-lasting restorations for their New York City patients, achieving natural-looking results designed to be virtually undetectable.
NYC Porcelain Fillings
Before we can talk about restoring teeth with the proper composite or porcelain restoration, we want to ensure that our patients understand the reasons and necessity for such tooth restorations.
The most common dental issue is dental decay. Dental tooth decay is a lesion formed inside the tooth structure called dentin. If exposed, cavities can appear in any part of the tooth or on the root surface. The most common place for cavities to form is the top or bottom (occlusal) surfaces of the back (posterior) teeth inside the tooth’s crevices. Mesial and distal (interproximal) decay that forms between the teeth is also common.
How to Minimize Tooth Decay
There is no magic solution to decay prevention. Drinking fluoride water and brushing twice daily are the most effective ways to prevent tooth decay. The rest depends on the consistency and the regularity of your oral hygiene routine:
- Proper brushing in the morning and evening daily is the number one way to prevent decay formation.
- Brushing alone is not always sufficient, as the toothbrush’s bristles cannot always get between the teeth to remove all the food particles lodged there. Thus regular flossing is imperative to preventing interproximal decay.
- The sealant is a clinical method to prevent occlusal decay from the formation. A dentist or a dental hygienist places the seal in the permanent tooth on the occlusal surface. This step prevents tooth decay before it occurs.
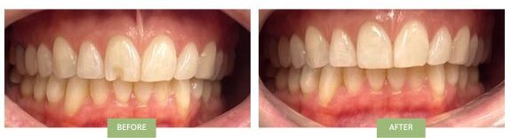
Treating Cavities With Porcelain Tooth Fillings
Once the tooth cavity forms, removing it from the tooth is the only way to prevent it from spreading. You cannot completely remove the cavity at home since it requires professional dentistry, such as using drills and applying the filler. After the dentist cleans out the decay, using the proper material can begin to restore the tooth.
Restorations like dental bonding, also termed by dentists as composite filling and ceramic onlays and inlays, have the same purpose. They restore decay that compromises the tooth’s enamel and surface. Unlike dental crowns, teeth that require restorations with dental filling materials and onlays may have significantly more tooth structure left.
Your dentist will advise on the most appropriate restoration type for the compromised tooth based on the size of the restoration needed. If the decay is minor and does not extend over to other surfaces, such as the occlusal or the lingual surface needs replacing, a filling can be an excellent option to restore the tooth.
If you are worried about how much porcelain fillings are or if decay has extended to several tooth surfaces, ceramic onlay or inlay is often a better choice.
Advantages of Porcelain Fillings
Porcelain tooth colored fillings, called onlays or inlays, provide each patient with numerous benefits as they restore the quality of their teeth. This process minimizes pain and discomfort from tooth decay while providing a rejuvenated look to your teeth.
- Aesthetic appeal: Porcelain is a beautiful material that leaves your teeth stronger and whiter than other fillings. Porcelain provides an extra layer of visual aesthetic to your teeth to make your smile brighter. This filling restores the natural whiteness of a clean set of teeth for you to show off to family, friends and coworkers.
- Durability: Porcelain fillings with metal bonding strengthens the tooth’s surface. The material fights off years of damage from sugar and tough-to-chew foods.
- Longevity: Porcelain fillings provide a layer of strength to your decayed tooth. Your new filling can last up to 20 years with proper hygiene care.
- Stain and abrasion resistance: After a porcelain filling procedure, your teeth are less likely to stain from foods and caffeinated drinks. The strong material also prevents cracks from forming when chewing on tough foods.
- Less toxic: Some patients experience allergic reactions to the mercury used in filling procedures. By using porcelain to replace the toxicity of mercury that can upset a patient’s skin, dentists can ensure a solid filling that creates a bright smile.
Which Procedure Is Right for You?
If you are scheduling your next dentist appointment and wondering which procedure can benefit you the most, there are several options your dentist may offer. Fixing tooth decay needs to happen as quickly as possible so you can return to your daily routine without pain or discomfort. Your dentist can help make your choice easier by going over the benefits of each procedure with you in person. Read about the differences below if you want to gain more insight into each option before scheduling an appointment.
Dental Inlay vs. Onlay
These two dental procedures are very similar as they restore the health of the teeth by eliminating any signs of decay. They have the same durability and use the same porcelain material. The main difference between these procedures is how each cover fits over the tooth and how much of the tooth’s structure it can maintain. Onlay covers one or several cusps and extends to the occlusal surface. On the other hand, inlay typically sits in the crevices on the surface of the tooth.
Dental Onlay vs. Crown
Both onlays and crowns treat extensive areas of decay, but crowns surround the entire tooth and the tooth enamel, while onlays cover only the compromised portion. With advancements in cosmetic dentistry, there are now more than the typical two ways to restore decay — a metal filling or a crown. Today’s dentists typically prefer ceramic onlays to restore teeth that would have required crowns in the past. By placing onlays on the teeth, dentists can save more of the tooth’s structure rather than having to break it down to fit the crown molding. In some circumstances, dentists still recommend crowns to strengthen teeth and restore broken teeth.
Dental Bonding vs. Veneers
Bonding is a cheaper alternative to veneers. The bonding procedure only takes one appointment, while veneers usually require two visits. The first appointment prepares the patient’s teeth and creates an impression for the dental lab. The second visit allows the patient to try out their new veneers to ensure they fit correctly. Porcelain veneers have a leg up as the durability of the material prevents staining and lasts longer than the bonding resin.
What Is the Difference Between Composite Bonding and Porcelain Onlay or Inlay?
Porcelain or ceramic onlays and inlays are custom made in the lab and produced out of the porcelain or ceramic filling. Either material is durable, designed to sustain powerful biting forces and susceptible to withstand temperature changes in our mouth. It also does not change color when exposed to various foods.
It is the same material used in veneers, crowns, bridges and implant-supported restorations.
Dental bonding, also called cosmetic bonding or composite filling, uses special resin materials to restore damaged teeth. Just like with porcelain, the shade of the composite material can match your teeth, so the restoration looks natural. Unlike porcelain, the composite is a porous substance that is softer and gets yellow with time by absorbing the coloring in the foods and liquids we consume. This type of filling is not as durable as well-placed porcelain or ceramic onlay and, therefore, is not recommended for extensive tooth restorations.
In the past, dentists used amalgam fillings to restore large cavities. When dentistry moved towards mercury-free restorations, dentistry practices replaced amalgam with composite. Now with advancements in porcelain and ceramic restorations and improvements in prepping techniques, onlays and inlays are a new standard of care.
What Occurs During a Dental Bonding Procedure?
First, the dentist removes the decay and cleans the area of bacteria. Then, they apply an etching solution so the bonding material can stick to the exact shape and indents of the tooth’s surface. Once the tooth’s surface is ready, the dentist applies layers of the bonding resin to the previous location of the decay to create a stable tooth bond that will provide support for the teeth for years.
The resin shape will match your tooth’s natural look. The dentist will use a curing light to set the resin material to the tooth’s shape in a stable hold. They gently buff the resin for beautiful results that blend naturally with your other teeth.
What Happens During Dental Onlay Preparation?
Dental onlay is a two-visit procedure. The preparation is identical whether you need a ceramic onlay or inlay.
- The first visit may require anesthesia. Then, the dentist removes the decayed portion of the tooth and cleans the area of debris.
- Once the tooth is decay free, the dentist will make an impression of the tooth. In many offices, a dentist will use a colorful “putty” on the impression tray. A patient bites on the tray and keeps it in their mouth for several minutes. Then the tray is removed. Often to achieve clear margins, the reline of the impression is required. With additional material placed around the tooth, a patient has to bite again on the impression tray.
- Our dentists use a 3D scanner to make digital impressions. The 3D scanners produce impressions fast, more accurate and without any waste. 209 NYC Dental is proud to be GREEN.
- After recording and implementing the impression, the dentist chooses the shade of the future onlay, matching it to the tooth. They then send the impression and shade to the lab. The dentist then restores the opening in the tooth with a temporary material.
- The onlay is cemented to the tooth during the second visit using a specialized adhesive. Then the onlay is gently buffed to ensure it fits comfortably.
Customized Fillings at 209 NYC Dental
If you could benefit from a customized filling that can strengthen your teeth, 209 NYC Dental can help with all your dental needs. Restoring the surface of your tooth or teeth with a quick procedure can completely transform your smile. We offer quality cosmetic density to make your smile healthier and happier.
Your satisfaction with your teeth’s health and shine is our top priority when you schedule an appointment with our team of highly qualified dentists. Book your appointment today to see how our quality procedures benefit your smile.
What Our Patients Are Saying
With over 1000 reviews from all over the web with an average rating of 4.9 we are proud to be in the Manhattan Dental Elite.
Our History
Our Providers
About Us
Blog
Contact us
Diagnostic & Preventive
Implant Dentistry
Clear Braces - Invisalign
Cosmetic Dentistry
Periodontics
Patient Forms
Payment Information
Insurance Options
CareCredit Dental
Appointment Policy
Free Consultation
Complimentary Teeth Whitening
Teeth Whitening



