Teeth Whitening in NYC
New York’s Best Teeth Whitening Specialists
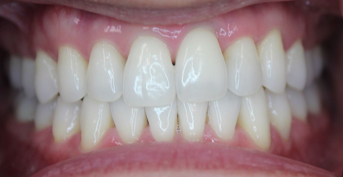
The dentists at 209 NYC Dental in Midtown East utilize the Zoom teeth whitening option to help patients from throughout New York City achieve brighter, whiter teeth, resulting in smiles that look naturally beautiful and healthy.



What Causes Teeth to Turn Dark?
Teeth discoloration is caused by many reasons, including years of stain accumulation from specific foods and beverages, as well as cigarette and cigar smoke, and chewing tobacco. Some medications and certain diseases can cause teeth to discolor.
Teeth can turn dark on the outside or become discolored inside as a result of trauma, disease, or irregular teeth cleaning. Teeth whitening treatments are ineffective for discoloration that occurs inside the teeth.
Our team has seen firsthand how untreated discoloration can impact a patient’s confidence. It’s understandable. That’s why we make it a priority to deliver exceptional teeth whitening options tailored to your unique needs. Whether dealing with surface strains or discoloration that resists conventional methods, our combination of advanced diagnostic tools and extensive experience enables 209 NYC Dental to create a comprehensive teeth whitening plan.
Before receiving teeth whitening in NYC, we’ll examine your teeth to determine the causes of discoloration and ensure that whitening is the best option for you. Our team of cosmetic experts understands that every patient has a unique reason for tooth discoloration. Whether it’s coffee, wine, tobacco, or medication-related stains, we customize each treatment to ensure optimal whitening results.
Whitening works best on healthy teeth and gums. If you have sensitive or bleeding gums, we recommend seeing our periodontal team first to address any underlying issues.
For patients searching for the best teeth whitening method that suits their lifestyle, 209 NYC Dental’s tailored solutions are backed by decades of experience.
Zoom Teeth Whitening in NYC
Zoom Whitening is a popular option among NYC patients interested in teeth whitening. It uses a specially formulated hydrogen peroxide-based gel explicitly developed for professional teeth whitening in NYC. As a result, it’s much more effective and provides more consistent and longer-lasting results than products available in stores.
Zoom whitening involves having a gel applied to your teeth. Next, a teeth whitening dentist or dental professional will apply a mouthpiece used to hold your lips back from your teeth. This step ensures the entire tooth’s surface is exposed to the gel and the light. Then, an activating LED light helps the gel achieve its desired effects. A whitening process can take anywhere from 1 to 4 intervals, each interval lasting 15 minutes. The number of intervals needed to achieve desired results depends on the patient’s starting point, teeth sensitivity and desired results. Once the teeth whitening is finished, the gel will be removed, revealing your whiter, brighter smile.
Many patients choose our teeth whitening services because they’re safe, quick, and capable of lightening teeth up to eight shades in just one visit! Zoom utilizes innovative light-activated technology to ensure consistent coverage and uniform whitening across all visible surfaces. It’s one of the best teeth-whitening systems in the world.
At Home Teeth Whitening
Trying to lift stains at home? Many over-the-counter “whitening” toothpastes rely on harsh abrasives that can permanently damage your enamel over time. Discover safer ways to maintain a bright smile in our Comprehensive Toothpaste RDA Guide.
In addition to the in-office Zoom teeth whitening system, we offer a convenient and reliable take-home Opalescence Whitening system. Opalescence system, renowned for its reliable whitening capabilities and is considered best in class. Unlike the Opalensence system that you can buy online that doesn’t go over 15% concentration, we utilize a potent 35% peroxide gel. Higher concentration means faster and better results.
Our in-home custom whitening trays offer a convenient and effective solution for achieving a brighter smile. These trays are custom made in our dental office to perfectly fit your unique dental contours, ensuring optimal contact between the professional-strength whitening gel and your teeth. The custom fit ensures that the gel is evenly distributed across all teeth, maximizing the whitening effect and minimizing the risk of gum irritation.
The treatment regimen involves wearing the whitening trays for just one hour each day over a period of two weeks. This controlled application allows for gradual yet noticeable whitening, providing a more natural-looking result. A significant advantage of this in-home system is the level of control it offers patients. You can adjust the wear time based on your individual sensitivity levels, making the process more comfortable and personalized. The total cost for this in-home whitening treatment, including the custom-made trays and professional-grade Opalescence gel, is $350. This investment provides a long-lasting solution for a noticeably whiter and more radiant smile, all from the convenience of your own home.
Will One In-office Whitening Treatment Be Enough?
Yes! Most patients see results after a single session with Zoom teeth whitening in NYC. However, it is important to know that not all stains can be removed with teeth whitening systems. For example, intrinsic stains (inside the tooth surface) like tetracycline stains will not whiten and require a covering like porcelain veneers to change their stained appearance.
If you need maximum brightness ahead of a big event—like a wedding or photoshoot—let our team guide you through a fast-track whitening plan. We’ll help you achieve the best teeth whitening outcome with our world-class precision and care.
I Have Porcelain Veneers. Can I Receive Teeth Whitening Services?
No. Whitening products can’t lighten restorations, such as veneers or resin-bonding materials, in the same way they do with natural teeth. If these become permanently stained, they’ll probably have to be replaced.
In such cases, a teeth whitening dentist may recommend other cosmetic dental options to help improve your smile’s appearance. If teeth whitening in NYC isn’t an option, we’ll find other solutions as part of your comprehensive aesthetic plan.
Why We Offer Zoom Teeth Whitening in NYC Instead of Enamel Micro abrasion
While many dental offices offer micro abrasion teeth whitening to remove discoloration from the tooth surface, 209 NYC Dental does not.
During the micro abrasion process, a dentist isolates the teeth from the gums and then removes discolored enamel using micro abrasion tools. After removing the discoloration, the dentist polishes the teeth with an acid abrasion mixture before cleaning and rinsing.
In some cases, the yellowing on teeth goes deeper than the surface, where micro abrasion tools cannot reach. In these situations, you may need a more effective tooth whitening system to help remove enamel stains, such as the Zoom whitening treatment from 209 NYC Dental.
Zoom dental bleaching treatment from 209 NYC Dental is an effective treatment option for longer-lasting results. Our whitening treatment utilizes a bleaching effect to help correct the appearance of teeth, regardless of their degree of discoloration. We encourage you to contact our team to learn more about our Zoom whitening treatment process.
Unlike over-the-counter kits or potentially dangerous social media “techniques,” our professional-grade Zoom system ensures patients receive the most advanced teeth whitening in NYC. You can expect consistent and dramatic results in a safe, comfortable, and professionally monitored setting. If you’ve tried home-based methods without success, 209 NYC Dental and Zoom might be the combination that gives you your dream smile.
FAQs
How Much Money Does Teeth Whitening in NYC Cost?
The cost of teeth whitening in New York varies depending on the provider and the method chosen. In-office NYC teeth whitening costs anywhere from $400 to $1100, while take-home from $200 to $500. 209 NYC Dental offers competitive pricing on our teeth whitening services, in-office and take home. Many patients find their results are well worth the investment. 209 NYC Dental provides added peace of mind by accepting most insurance plans (if your insurance covers teeth whitening) . We also offer teeth whitening specials for patients undergoing smile makeover transformations like invisalign, porcelain veneers and more..
Is Zoom Whitening Safe and Effective?
Yes. We and other dental professionals offering in-office teeth whitening service in NYC believe that Zoom’s whitening system is the best teeth whitening system on the market. It’s safe and non-invasive, capable of delivering visible and near-instant results. The experienced teeth whitening dental professionals at 209 NYC Dental ensure your comfort and safety during every procedure.
What’s the Best Teeth Whitening Option for Those With Sensitivity Issues?
Some individuals have sensitive teeth. If that’s the case with you, avoiding harsh over-the-counter or home-based whitening products is best. In many cases, those with sensitive teeth find Zoom whitening to be a pleasant experience. We also offer desensitizing treatments that can be applied before your whitening session to minimize discomfort.
Choose 209 NYC Dental for Professional Teeth Whitening in NYC
209 NYC Dental is a dental office conveniently located in Midtown Manhattan, open 7 days a week, providing our patients with additional flexibility when scheduling appointments. With over 130 years of experience, we have expanded into a multi-specialty dental care, offering comprehensive dental solutions in NYC for all of your cosmetic dental needs, all in one location. We also provide aftercare tips to help achieve the best teeth whitening results, including proper brushing and flossing techniques, as well as lifestyle recommendations. Schedule a teeth whitening appointment and learn more about teeth whitening in NYC today!
What Our Patients Are Saying
With over 1000 reviews from all over the web with an average rating of 4.9 we are proud to be in the Manhattan Dental Elite.
Our History
Our Providers
About Us
Blog
Contact us
Diagnostic & Preventive
Dental Implants
Clear Braces - Invisalign
Cosmetic Dentistry
Periodontics
Patient Forms
Payment Information
Insurance Options
CareCredit Dental
Appointment Policy
Free Consultation
Complimentary Teeth Whitening
Teeth Whitening


