Invisalign for Underbite in NYC
- What Is An Underbite?
- Why Should You Fix An Underbite?
- Does Invisalign Fix Underbite?
- Benefits Of Using Invisalign For Underbite Treatment
- Call To Book An Invisalign Consultation At 209 NYC Dental
An underbite is a severe misalignment of the upper and lower front teeth. While it makes your smile look strange, it can also cause serious oral health issues. Treatment of this dental issue is easier and more effective today with Invisalign. You do not have to use metal underbite braces or expanders.
Invisalign is a discreet, convenient, and comfortable treatment option that makes it easy to fix your underbite without surgery. Before you call 209 NYC Dental for a consultation, take a few minutes to learn more about this condition and how Invisalign can fix underbites.
Call 212-355-2290 for information about Invisalign for underbite in NYC!
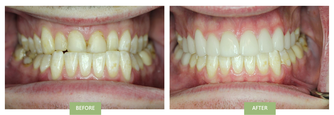
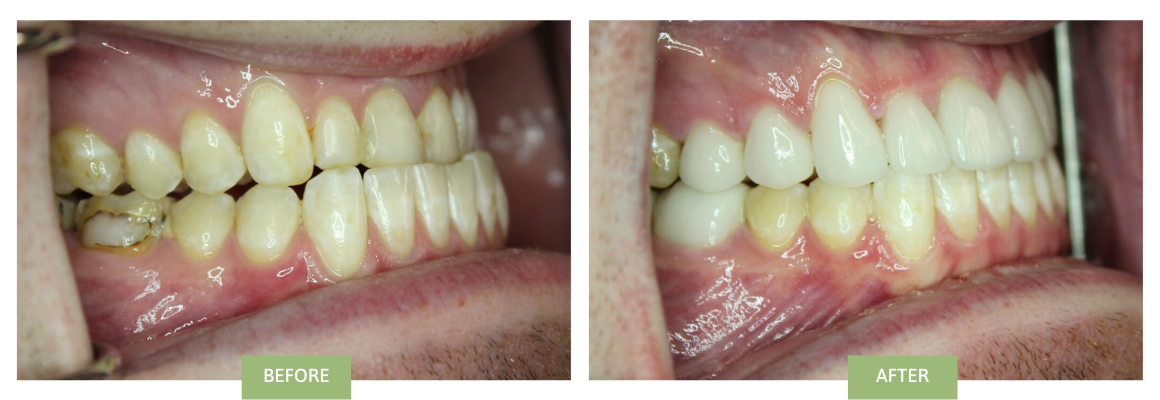
Invisalign for Underbite Before and After – Real Results
What Is an Underbite?
An underbite is an incorrect positioning of your teeth that occurs when your lower teeth stick out in front of your upper teeth when you close your mouth. The lower jaw is displaced and positioned too far forward. You will find it difficult to bite and chew properly if you have an underbite. It may also cause you to have a speech impediment, which could require speech therapy and make your teeth wear out quickly.
What Causes an Underbite?
Genetics, lousy childhood habits, or injuries may cause an underbite. If your underbite is inherited, your parents or any other family member will also have it. They may have the same type of jaw and tooth shape, too. This situation can require Invisalign to treat underbites in NYC.
Childhood habits that can increase the risk of having underbite alignment issues include:
- Excessive thumb sucking
- Jaw problems
- Using a pacifier after the age of three
- Feeding on a bottle after the infant years
- Pushing on the front teeth with the tongue, also called tongue thrusting
When a severe injury occurs, it can damage the jawbones and cause misalignment of the teeth. In addition, a tumor in the mouth can cause the jaws to protrude, leading to an underbite.
Why Should You Fix an Underbite With Invisalign?
If you have an underbite, you need to get it corrected. It can make your smile look strange and unpleasant, leading to embarrassment when you need to smile or meet new people.
Not treating an underbite with Invisalign in NYC can also cause serious dental issues, including:
Poor Oral Hygiene
An underbite will make your teeth hard to clean.
Faster Tooth Wear
The enamel on your teeth will wear out quickly.
Tooth Decay
Due to poor hygiene and excessive wear, your teeth can decay faster.
Joint Disorders
Severe underbites can cause a painful joint condition known as TMJ.
How to Fix Underbite
When you visit 209 NYC Dental, we will help you assess your smile carefully to determine the cause and severity of your underbite. Our Invisalign expert, Dr. Ahn, will then recommend a treatment plan for you, which may include Invisalign for underbite in NYC. If your underbite is caused by a minor jaw displacement or irregular teeth position, we will show you the best aligner treatment plan to correct this problem.
Can Invisalign Fix Underbite?
Yes, Invisalign treatment aligners can work for certain types of underbites. Severe underbites sometimes require additional treatment options, including surgery to correct the jaw position. Invisalign can also work for class 3 underbites with other treatment plans.
At 209 NYC Dental, Dr. Ben Ahn and other dentists will conduct a thorough dental examination of your smile as part of your treatment for Invisalign for underbite in NYC. We use the most modern 3D scanner to take images of teeth and plan treatments. We will show you 3D images of your teeth and what they will look like before and after Invisalign for underbite.
Each set of clear aligners will be worn for just two weeks. Then, you will replace them with another set. You need to wear the aligners for up to 22 hours each day. You will still have time to remove them when cleaning your teeth or eating. Each set of clear braces will push your teeth gently back into their proper position to reduce alignment issues.
How Long Does It Take for Invisalign to Fix Underbite?
The length of your Invisalign treatment will depend on the severity and level of your misalignment and your willingness to wear your underbite braces for about 22 hours daily.
Minor cases can be corrected in three to four months, while moderately severe underbites can be corrected within 12 months. This time is still shorter than the time it takes to fix underbites with traditional metal braces.
Benefits of Using Invisalign for Underbite in NYC
Invisalign is an effective and patient-friendly treatment option. It is better than traditional metal braces. Here are some advantages it offers compared to other forms of treatment.
Invisibility
Clear aligners are not noticeable. They do not have metal wires, brackets, and elastics that everyone will see when you smile. As a result, you can enjoy your treatment and correct your smile without anyone knowing.
Comfort and Convenience
The clear aligners will fit perfectly on your teeth and will not cause any discomfort. They will be custom-made to fit your teeth and gradually move them back to their proper position.
Improved Oral Hygiene
You can easily remove the clear aligners to clean your teeth, allowing you to improve your oral hygiene and avoid tooth decay. These clear underbite braces are also easy to clean.
Efficient
Invisalign works more efficiently than traditional braces for an underbite in NYC. Each set of aligners moves the teeth to their correct position, and we can inspect your teeth every two weeks to ensure that they are shifting according to plan.
Dietary Freedom
With Invisalign, you can take your underbite braces off and eat what you want. That means you can enjoy your favorite snacks and meals without any particles of food getting trapped in the braces.
Enhanced Self-confidence
Invisalign can fix underbites, improve your self-worth, and boost your confidence in social situations.
Frequently Asked Questions About Invisalign for Underbite in NYC
1. Will Invisalign Fix Underbite in Teens and Adults?
Yes. Invisalign can correct underbites in teens and adults. The exceptions are patients with severe underbites and jaw misalignment. Patients may require additional procedures, such as surgery or elastics, in NYC before receiving Invisalign for an underbite in NYC.
2. How Often Are Check-Ups With Invisalign Treatment for an Underbite?
Every patient’s dental needs are unique. However, most patients visit their dentist once every six to eight weeks. These visits allow a dental team to monitor their teeth shifting and make any necessary adjustments.
3. What’s the Cost of Invisalign for Underbites?
The average cost of Invisalign for an underbite in NYC is between $3,500 and $8,000. Currently, treatment from 209 NYC Dental costs $6,395. However, our dental office regularly offers money-saving specials to lower the cost of Invisalign.
Meet Dr. Ahn, Our VIP Diamond Plus Invisalign Provider
Dr. Ben Ahn is our distinguished Diamond Plus Invisalign Provider in NYC. He is currently one of the most distinguished Invisalign dentists in the United States. He is also an active member of the American Dental Association, the Canadian Dental Association, and many other international dental associations.
Dr. Ahn is fully committed to continually improving the outcomes of Invisalign treatment and other orthodontic technologies. He has been using Invisalign to treat patients for more than 15 years and has helped many patients transform their smiles, including those who required Invisalign for underbites in NYC. As an expert in using Invisalign, he can offer all forms of treatment, including complete treatment, Invisalign Teen, and Invisalign Express.
Couple time a year we offer patients in NYC EXTRA discounts on Invisalign treatment in addition to our Exclusive Invisalign Offer. Stay tuned.
Call Now to Book Your Consultation for Invisalign for Underbite in NYC
Call 209 NYC Dental or reach out online now to schedule your consultation. Invisalign consultation is $50, and if you proceed with treatment, we will apply $50 towards your Invisalign treatment along with other perks of our exclusive Invisalign discounts. We will gladly assess your smile and show you how Invisalign can help you correct your misaligned teeth. We will offer free 3D image scanning and provide before and after Invisalign images. Then, we will recommend the best treatment plan for you.
What Our Patients Are Saying
With over 1000 reviews from all over the web with an average rating of 4.9 we are proud to be in the Manhattan Dental Elite.
Our History
Our Providers
About Us
Blog
Contact us
Diagnostic & Preventive
Dental Implants
Clear Braces - Invisalign
Cosmetic Dentistry
Periodontics
Patient Forms
Payment Information
Insurance Options
CareCredit Dental
Appointment Policy
Free Consultation
Complimentary Teeth Whitening
Teeth Whitening


