Gum Contouring NYC
Introduction to Gum Contouring in NYC
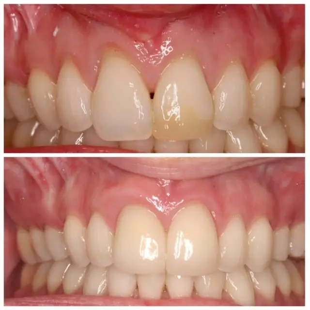
Gum contouring, also known as gum reshaping or gum lift, is a cosmetic dental procedure meant to correct a “gummy smile” (where too much gum shows), even out an uneven gum line, or enhance the overall aesthetics of the smile. This procedure involves removing or reshaping excess gum tissue to make the teeth look longer or more symmetrical. Whether you feel self-conscious about your smile due to excessive gum display or asymmetry, gum contouring can help achieve a more attractive result.
Who is a Candidate for Gum Contouring?
Gum Contouring as a Cosmetic Procedure
Gum contouring is often sought primarily for cosmetic purposes, especially in cases of excessive gingival display (EGD), commonly known as a “gummy smile.” This condition occurs when an unusually large portion of the gum tissue is visible above the upper teeth while smiling. One main cause is altered passive eruption, where gums fail to recede properly after adult teeth erupt, leaving too much tissue covering the enamel.
Other factors include super-eruption of teeth or a hyperactive upper lip. Gum contouring is an effective way to address these concerns, boosting self-confidence with a more youthful, balanced smile.
Gum Contouring for Medical Reasons
While often cosmetic, contouring also supports oral health. ensuring a balanced gum line reduces pockets where bacteria hide.
Pocket Reduction: In cases of gum disease, deep pockets form between gums and teeth. Reshaping this tissue reduces pocket depth, making hygiene easier and preventing bone loss.
Gingival Hyperplasia: Overgrowth of gum tissue due to medication or genetics can make brushing difficult. A gingivectomy removes excess tissue to improve both function and hygiene.
The Gum Contouring Surgery In Manhattan, NYC
Gum contouring is performed in our office by our board-certified periodontists and dentists. The procedure typically takes one to two hours. The doctor will administer local anesthesia to ensure you are numb and comfortable. Sedation options are also available.
Gummy smile reduction involves removing excess gum tissue using precision instruments to reshape the gum line for a balanced, attractive smile.
If you need a Crown Lengthening procedure in addition to simple contouring, the doctor will remove a small amount of bone to prevent gum tissue regrowth. This ensures the results are permanent.



Cost of Gum Contouring & Reshaping in NYC
The cost of gum contouring at 209 NYC Dental depends on two main factors:
- The type of procedure: Whether it requires only soft tissue removal (Gingivectomy) or involves reshaping the underlying bone (Crown Lengthening).
- The extent of treatment: The number of teeth involved.
Because every smile is unique, we provide a clear breakdown of fees during your consultation.
Gingivectomy (Soft Tissue Reshaping)
This procedure removes excess gum tissue to reveal more of the tooth structure.
- Who is this for? It is ideal for patients where the gum tissue extends over the tooth surface, but the underlying bone is at the correct level. In these cases, simply trimming the gum is a permanent solution.
- Cost Estimate: Ranges from approximately $410 (1-3 teeth) to $1,150 (comprehensive treatment/multiple quadrants).
Insurance coverage for gum contouring without bone reshaping
Coverage depends on “medical necessity.” If the procedure is strictly for cosmetic gummy smile correction, it is generally not covered. However, if it is required to correct overgrown gums caused by periodontal disease or medication (gingival enlargement), insurance may cover a portion of the cost.
Esthetic Crown Lengthening
This is a more advanced procedure involving the reshaping of both gum and bone.
- Who is this for? This is necessary when the bone level is too high. If we only trimmed the gum without reshaping the bone, the gum tissue would eventually grow back. Reshaping the bone ensures the “gummy smile” correction is permanent.
- Cost Estimate: Ranges from approximately $825 (1-3 teeth) to $4,400 (comprehensive treatment/multiple quadrants).
Insurance coverage for gum contouring with bone reshaping
Because this procedure is primarily cosmetic, it is rarely covered by dental insurance. Most cases are billed as a private fee service, as insurance pre-determinations for esthetic reshaping are typically denied. We offer financing options to help manage these costs.
Smile Makeover and Gum Reshaping Procedure in NYC
If you are interested in a smile makeover, it is highly beneficial to have your cosmetic restorative dentist and periodontist collaborate closely. They set the stage for the proper design of the gingiva (gum) so that restorations, such as porcelain veneers or crowns, can look their best.
We are proud to be one of the first multi-specialty dental offices in Manhattan offering this integrated approach under one roof.
Consultation for Gum Contouring Procedure
During the consultation, the dentist will discuss your cosmetic goals, take photographs, and conduct a dental exam. They will assess your gum-to-tooth ratio and determine how much tissue to remove to achieve a balanced smile. Factors such as lip position and facial structure will be considered.
Schedule your consultation with Dr. Wang, a skilled periodontist, or Dr. Benjamin Ifraimov, a renowned cosmetic dentist.
209 NYC Dental is conveniently located in Midtown Manhattan and is open 7 days a week.
Frequently Asked Questions About Gum Reshaping
Does gum contouring hurt?
Dr. Wang uses advanced techniques for a pain-free experience
Does dental insurance cover gum recontouring in NYC?
Coverage depends on medical necessity
However, sometimes gum recontouring is medically necessary, such as to address negative effects of periodontal disease (gingivectomy) or to aid in dental crown placement. In such instances insurance should cover treatment, partially or in full, depending on your dental coverage. During your consultation at 209 NYC Dental, we’ll review your insurance to provide you with a transparent and detailed estimate.
Is Gum Contouring worth it?
Aesthetic and functional benefits
A well-contoured gum line can drastically enhance the appearance of teeth, making them appear longer and more even. This is especially beneficial for patients with a “gummy smile,” where too much gum coverage overshadows otherwise healthy teeth. Contouring the gums can also help correct asymmetries caused by genetics, previous dental work, or gum disease.
In many cases, patients report an immediate improvement in their self-confidence and overall satisfaction with their appearance following gum reshaping. Beyond cosmetic purposes, gum reshaping may play a pivotal role in your oral hygiene. When we remove extra gum tissue, it often becomes easier for patients to clean around their teeth and gums, reducing the risk of plaque accumulation and gum disease. Additionally, for those undergoing full-smile makeovers, gum reshaping sets a foundation for every subsequent cosmetic step.
What is the healing time for gum contouring procedure?
Typically a few days to a week
What is aftercare following gum contouring services?
Instructions for a successful recovery
Patients can expect any side effects, such as light bleeding and swelling, to dissipate within about a week. It is important to follow the doctor’s post-op instructions to ensure a successful and speedy recovery following the gum contouring surgery. This includes eating soft foods, avoiding hard or spicy foods, and maintaining good oral hygiene. Mild soreness is common after the procedure. Take an over the over-the-counter pain medication or one prescribed by your dentist to reduce pain. It’s also important to rest and avoid driving for the remainder of the day if sedation was used.
Regular appointments with your dentist for cleaning and check-up will help ensure the best possible outcome and maintain good oral health.
Contact 209 NYC Dental Today
Ready to reshape your gums and transform your smile? Contact our Midtown Manhattan office today to schedule your consultation.
What Our Patients Are Saying
With over 1000 reviews from all over the web with an average rating of 4.9 we are proud to be in the Manhattan Dental Elite.
Our History
Our Providers
About Us
Blog
Contact us
Diagnostic & Preventive
Dental Implants
Clear Braces - Invisalign
Cosmetic Dentistry
Periodontics
Patient Forms
Payment Information
Insurance Options
CareCredit Dental
Appointment Policy
Free Consultation
Complimentary Teeth Whitening
Teeth Whitening


