Adult Checkup and Teeth Cleaning in NYC
Clean and Protect Your Teeth
Whether you’ve received a dental filling, undergone a smile transformation, received dental implants, or wish to maintain a radiant, healthy mouth, our New York State-licensed dental hygienists are committed to preserving your smile for a lifetime. Flawless care. You’ll receive the finest dental cleanings in NYC in our elegant Midtown East Manhattan office. We can also discuss teeth cleaning costs and address any questions you may have.
Our meticulous, diligent, and skilled hygienists are deeply devoted to the pursuit of knowledge. Year after year, they attend numerous advanced education courses well beyond the obligatory requirements, ensuring that our patients benefit from the most current and exemplary dental care.
Adult Checkup and Teeth Cleaning in NYC
Studies show that patients who schedule and attend regular dental cleanings and adult checkups are more likely to have healthier bones and gums than those who don’t. They also often keep their teeth considerably longer.
During adult checkups and teeth cleanings in NYC, we can identify numerous conditions early on. Prompt detection and intervention can prevent costly, complex dental issues from arising. Additionally, poor oral hygiene has significant ramifications, impacting cardiovascular health and overall well-being.
Your oral health profoundly influences your capacity to eat and digest properly, which, if compromised, can lead to severe nutritional and systemic complications. The effects reach far. Aesthetic appeal and self-confidence are crucial to personal success, both professionally and socially. A radiant, robust smile supports your ambitions, helping you attain your aspirations.
Monique did a good job with my Xrays and Oxana was very friendly and informative. My cleaning was excellent. Dr. Iframinov was welcoming and professional. The staff in general are great and it was an awesome first experience.
Wonderful as always with Lena.
By far the friendliest staff on the planet, the office space is elegant and spacious. The doctors are super nice and patient.
What To Expect During Your Hygiene Visit


During your first visit for an adult checkup and teeth cleaning in NYC, our hygienist will review and assess your health history to determine if any existing medical conditions could impact your treatment. At each subsequent visit, they assess your oral health and note any changes that have occurred.
The steps we take during your hygiene appointment can include:
- Digital X-rays
- Oral screenings
- Checking dentition
- Periodontal exams
- Oral hygiene techniques
Our patients prefer being treated by the same dentist. Regarding hygiene appointments, we share the same view. Having the same professionals work with you regularly fosters rapport and continuity of dental care, as well as a deeper understanding of each patient’s individual needs.
What Does A Routine Adult Checkup and Teeth Cleaning in NYC Involve?
Dental cleaning procedures comprise several steps.
First, the dental hygienist will identify areas of tartar and teeth plaque. Plaque is a soft film covering your teeth that can be removed by proper brushing; tartar or calculus is hardened plaque that can be eliminated only with the help of dental instruments.
After that, the hygienist will remove evident deposits of calculus using our Ultrasonic Cavitron Machine, an ultrasonic scaler that sprays water. The next part of your dental cleaning in NYC is performed using manual instruments called scalers. The hygienists will clean all the surfaces of your teeth, even the tiny spaces between teeth and along the gum line where plaque and tartar form and gum disease-causing bacteria gather.
The last part of your adult checkup and teeth cleaning in NYC is performed using prophy paste. Prophy paste has a coarse texture that dissolves into a finer texture as it removes the remaining plaque from your teeth. Patients like this part best, for it is here that one’s teeth become bright, shiny, and smooth.
As each tooth receives thorough attention, the hygienist meticulously examines areas where plaque and tartar have amassed. These areas are key indicators. They highlight the importance of adopting improved brushing and flossing techniques to maintain gum and tooth health between dental appointments.
After your adult checkup and teeth cleaning in NYC are finalized, the hygienist will walk you through these specific spots, offering insight and tailored guidance to refine your brushing approach. Essential knowledge. This ensures you can uphold optimal oral hygiene on your own.
Teeth Cleaning Cost In NYC

We offer a New Patient Package that includes teeth cleaning, a comprehensive exam, and digital X-rays (panoramic X-rays, four bitewings, and two posterior bitewings). The package costs $325, vs. $435 if done individually. If you are a healthy patient who requires no dental treatments, you can book only dental cleanings in NYC for your six-month recalls. The cost for teeth cleaning is $144.
To provide proper dental care to our patients and establish a baseline of oral health for new patients, your first adult checkup and dental cleaning in NYC visit consists of Full-Mouth Digital X-rays (with Panoramic X-rays), a comprehensive dental exam, oral cancer screening, nutritional counseling, oral hygiene instructions, and dental cleaning. As you can see, our teeth cleaning costs pay for extensive services.
For healthy patients, we recommend returning for an adult recall visit every six months. The recall visit typically includes a checkup and cleaning. We strongly recommend having four bitewing X-rays once a year.
Does My Insurance Pay For an Adult Checkup and Teeth Cleaning in NYC?
Dental cleaning is a preventive service. If done regularly, it may prevent periodontal disease and the formation of cavities. Professional teeth cleanings, exams, and X-rays are among the most affordable dental treatments.
Thus, it is cheaper for insurance companies to pay for regular recall visits rather than treating dental disease. The fee for an adult checkup and teeth cleaning in NYC is determined by the insurance contract (if the dentist is in-network) and varies between insurance companies.
The out-of-pocket costs for teeth cleaning with insurance depend on the individual’s coverage. Although the percentage of coverage may vary, it’s typically between 100% and 80%.
Most PPO insurance plans cover NYC dental cleanings twice in a calendar or policy year, or every six months, as long as the annual maximum is not used up.
Some plans may apply a deductible toward diagnostic and preventive services. Lately, however, there has been a positive trend among some insurance companies that offer three or even four cleanings a year, and sometimes these are even excluded from the annual maximum.
At 209 NYC Dental, we kindly request that patients provide us with their dental insurance information in advance so we can offer the most accurate out-of-pocket estimate.
Different Types Of Adult Checkups and Teeth Cleanings in NYC

There is only one dental procedure: prophylaxis. All other methods, though referred to as cleanings, are periodontal treatments. The reason they are nicknamed “cleanings” is that the treatment process resembles regular dental teeth cleaning, which is familiar to us. Please read on to learn about the treatments involved.
Prophylaxis is a routine NYC teeth cleaning performed every 6 months by a hygienist or a dentist. This dental cleaning is provided to healthy patients to remove the plaque and tartar accumulated above the gum line.
Full-mouth debridement is a “pre-cleaning” procedure. It is conducted ONLY on patients with severe calculus buildup, nearly overgrowing their teeth and gums. This procedure is done before the exam and may require additional professional teeth cleanings and periodontal treatment.
A dental deep cleaning is a periodontal procedure called scaling and root planing. It is prescribed to treat either the early stages of gum disease or as a preliminary treatment before the surgical treatment for patients with more severe gum conditions. It is performed either by our dental hygienist or our periodontist. The goal is to reach below the gum line and remove tartar and bacteria that collect on or near the roots. You may also need antibiotics to help kill bacteria that are difficult to reach.
Explore our Periodontics section to discover more about periodontal disease and its treatment options.
Perio maintenance is a periodontal type of adult checkup and teeth cleaning in NYC that a dental hygienist or periodontist can perform. It is prescribed instead of prophylaxis dental cleaning for patients with a history of gum disease. Unlike regular dental teeth cleaning, the frequency of periodontal maintenance varies. Depending on the severity of the gum disease, the provider will determine whether the patient should receive treatment every 3 or 4 months.
Periodontal Maintenance vs Cleaning
Both treatments target periodontal health, i.e., gum health. An adult checkup and teeth cleaning in NYC is a preventive treatment during which dental professionals remove any visible buildup above the gum line. Periodontal maintenance is a mix of two treatments: regular cleaning and deep cleaning. This means that if there is a need for localized scaling and root planing, the procedure will be performed below the gum line to remove any buildup, thereby preventing further progression of the gum disease.
Why Do I Need a Checkup and X-Rays on My First Visit?
As the oldest continuously operating practice in New York State, with over a century of experience, 209 NYC Dental has established guidelines to provide the best possible dental care to our patients. Once you step through our office door, we take responsibility for your well-being.
Getting an adult checkup and dental cleaning in NYC is a cost-effective dental routine. However, without X-ray vision, neither our hygienists nor our doctors can guarantee your dental health. Even the old filling that appears sound may have an underlying decay that cannot always be detected just by looking at the tooth.
Periapical pathology forming at the tip of the tooth root that may have been traumatized during a ball game cannot be diagnosed and will not be discovered until the nerve dies. At this point, you may need a root canal treatment or, even worse, an extraction.
Thus, we established a policy of conducting X-rays and a comprehensive dental exam during your first visit, enabling us to provide the best possible dental care for our patients.
How To Prevent Tooth Decay
- Brush your teeth twice a day, and floss at least once a day, preferably before bedtime.
- Use additional cleaning supplements as recommended by your dentist.
- Attend adult checkups and teeth cleanings in New York City every six months.
- Eat a healthy diet low in sugars and acidic foods.
- Fluoride treatments help make teeth more resistant to decay.
- Sealants applied to children’s teeth help prevent tooth decay in deep grooves and pits.
Your Home Routine To Follow Between Adult Checkups and Teeth Cleanings in NYC

Brushing
Use a toothbrush with soft bristles to ensure that your brushing is gentle on your teeth. Use a small brush head. This will ensure that you get better access even to the back teeth. When the bristles of your toothbrush wear down or fray, replace them with a new one.
Use a pea-sized amount of fluoride toothpaste—that’s all you need for effective teeth cleaning in NYC. Having more toothpaste doesn’t mean that you will clean your teeth better; a good toothbrush will.
While brushing your teeth, hold it at a 45-degree angle and move it in a circular motion without rushing, covering all areas between the surfaces of each tooth. Good brushing lasts two minutes. Brush up on the lower teeth, down on the upper teeth, and the outside, inside, and chewing surfaces of all your front and back teeth. Brush your tongue and the roof of your mouth before you rinse.
Do not swallow toothpaste; rinse your mouth thoroughly with water after brushing.
Flossing
Due to the tight spaces or crowding, the toothbrush cannot clean out all the food particles stuck between the teeth. Therefore, flossing is an essential step in any adult checkup and teeth cleaning in NYC. Dental floss reaches below the gum line and clears between teeth. It is crucial to floss between your teeth daily.
Pull a small quantity of floss from the dispenser. Wrap the ends of the floss tightly around your second finger. Guide the floss between each tooth, from the top to the gum line, to remove any food particles or plaque left between your teeth.
If you have dental restorations, such as crowns, veneers, or bridges, slide the floss out instead of pulling it upwards (when flossing the bottom teeth) or downwards (when flossing the top teeth). Unwrap clean floss from around your fingers as you go so that you have used the floss from beginning to end when you finish. Floss between all of your teeth. Floss daily to maintain clean teeth between adult checkups and teeth cleanings in NYC.
For some patients, we recommend using adjuncts in addition to manual brushing and flossing. We endorse alcohol-free fluoride mouthwashes and power toothbrushes, as certain brands are much gentler than handheld brushes and more effective in removing plaque.
Frequently Asked Questions About Adult Checkups and Teeth Cleanings in NYC

Do you have questions before your adult checkup and teeth cleaning in NYC? We have the answers!
How Long Does an Adult Checkup and Teeth Cleaning in NYC Take?
A new patient visit usually lasts 1 hour to 1 hour and 15 minutes. A recall appointment for an existing patient is 30 to 45 minutes long, depending on the treatments you will be getting.
What’s the Difference Between a Dental Checkup and a Cleaning?
A dental checkup is a dental exam during which your general dentist will check for any current or underlying dental problems. Checkups involve using a variety of screening measures, including dental X-rays, probing, a dental history review, and a visual evaluation.
Adult checkups and teeth cleanings in NYC are often performed by dental hygienists and focus on removing plaque and tartar buildup from your teeth.
Fluoride treatment is recommended annually as part of the child’s recall visit.
Do I Need To Take An Antibiotic Before a Professional Teeth Cleaning?
Generally, adult checkups and teeth cleanings in NYC and other dental procedures do not require premedication with antibiotics unless the patient has had a recent surgery.
How Often Do I Need an Adult Checkup and Teeth Cleaning in NYC?
Healthy patients should have their teeth cleaned every six months to help prevent tooth decay and gum disease, which are the leading causes of tooth loss. Between adult checkups and teeth cleanings in NYC, brush and floss regularly using the correct techniques, and try to avoid sugary snacks, as they can cause bacteria to multiply. Patients with periodontal disease are recommended to undergo deep cleaning first and then come back for a periodontal maintenance procedure instead of cleaning every 3 to 4 months.
Will Dental Cleanings in NYC Help Treat Gum Disease?
If you have mild, early gum disease or gingivitis, having your periodontal maintenance may be enough to prevent the disease from progressing. You will be asked to return 3-4 times a year to ensure the procedure prevents disease progression.
What Questions Do I Ask During My Adult Checkup & Teeth Cleaning in NYC?
- Do I have gum disease?
- How deep are my pockets?
- Are there any signs of gum recession?
- Am I over-brushing?
- Do I grind my teeth?
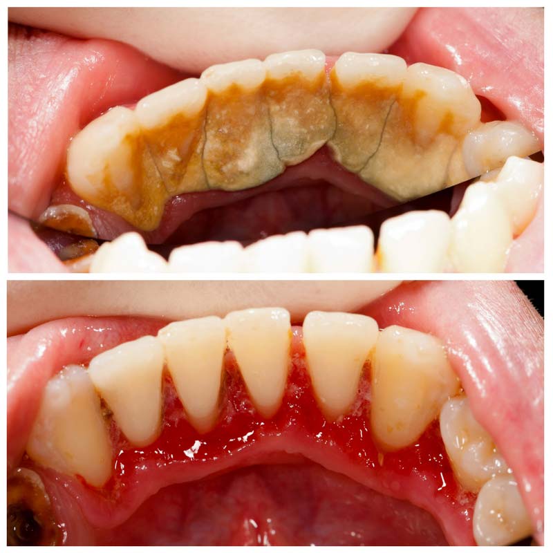
- Can I see a demonstration of dental cleaning before-and-after images?
Are Dental Cleanings in NYC Necessary If I Brush and Floss Regularly?
Yes. Although proper home care is excellent and something we recommend, these methods don’t replace regular professional teeth cleanings. Our dental professionals utilize cutting-edge tools and technology. That provides us with a comprehensive picture of your dental health, as we can identify areas that are not visible at home.
Proper home care can minimize dental-related issues or prevent them from forming. Taking such great care of your teeth can reduce the amount of work you need during your regular dental cleaning near me.
How Much Does a Dental Cleaning Cost?
Price is a valid concern when seeking adult checkups and teeth cleanings in NYC. 209 NYC Dental believes you shouldn’t have to spend a fortune to have clean and healthy teeth, so we provide affordable teeth cleaning costs.
What Makes 209 NYC Dental the Best Place for Adult Checkups and Teeth Cleaning in NYC?
From the moment you speak with us, you’ll notice that 209 NYC Dental is unlike other practices. We’re here to build and maintain long-term relationships between doctors and patients by offering the best adult checkups and teeth cleanings in NYC. We also provide low-cost teeth cleaning.
Things get even better when you arrive at our dental office. As you enter the door, you’ll see that 209 NYC Dental is dedicated to creating an exceptional customer experience. We offer a relaxing and inviting environment to enjoy as your cleaning time nears.
Once your cleaning begins, you’ll notice how professional and caring your dental hygienists and assistants are. After your cleaning concludes, one of our dentists will check in with you. This part of the cleaning process may also include discussing future treatment plans to address any current dental issues.
What Are Signs It’s Time to Schedule a Dental Cleaning in NYC?
There are many ways to determine if you need to schedule an adult checkup and teeth cleaning in NYC. The first indicator to use is time. Have you recently received an email or text reminder to schedule your next professional teeth cleaning? If so, it’s time to follow through and make that appointment.
What if you’re unsure when your next cleaning appointment is? Sometimes, your teeth and the rest of your mouth can provide signs it’s time for a professional dental cleaning, such as:
- Worsening breath
- Teeth discoloration
- New dental-related sensitivities
- You recently lost a tooth.
- Teeth shifting is occurring.
Schedule Your Cleaning Today
209 NYC Dental is ready to provide you with a thorough and professional teeth cleaning. Book your appointment with 209 NYC Dental online. Whether you or other members of your family require cleanings, our experienced team will ensure they get top-notch treatment. Have questions? Contact 209 NYC Dental center anytime.
What Our Patients Are Saying
With over 1000 reviews from all over the web with an average rating of 4.9 we are proud to be in the Manhattan Dental Elite.
Our History
Our Providers
About Us
Blog
Contact us
Diagnostic & Preventive
Implant Dentistry
Clear Braces - Invisalign
Cosmetic Dentistry
Periodontics
Patient Forms
Payment Information
Insurance Options
CareCredit Dental
Appointment Policy
Free Consultation
Complimentary Teeth Whitening
Teeth Whitening

